Theo thông tin từ Bệnh viện Nhi Trung ương, những ngày cuối tháng Hai, trong không khí cả nước hướng về Ngày Thầy thuốc Việt Nam 27/2, tại Bệnh viện Nhi Trung ương, niềm vui như được nhân lên gấp bội. Sau ca phẫu thuật đầy thách thức, bé gái 8 tuổi đã giữ được đôi chân nguyên vẹn. Chứng kiến con hồi phục, chị T (mẹ bệnh nhi) - nghẹn ngào bật khóc. Với người mẹ ấy, đó là món quà vô giá sau chuỗi ngày dài sống trong lo lắng và sợ hãi.
Bé N. (8 tuổi, Hà Nội) được phát hiện có bất thường ở chân trái từ năm 4 tuổi. Ban đầu, gia đình thấy con sưng vùng mắt cá chân. Nghĩ con ngã khi vui chơi, người nhà chỉ xoa dầu và theo dõi tại nhà. Tuy nhiên, tình trạng không thuyên giảm, bé được đưa đi khám và được chẩn đoán mắc u đầu dưới xương mác chân trái. Thời điểm đó, trẻ đã được phẫu thuật lấy khối u, làm giải phẫu bệnh. Sau mổ, sức khỏe bé ổn định, sinh hoạt và vui chơi bình thường. Tuy nhiên, việc tái khám định kỳ bị gián đoạn. Đến cuối tháng 1/2026, chân trái của trẻ bất ngờ sưng to, đau nhiều và đi lại khó khăn. Gia đình lập tức đưa trẻ đến Bệnh viện Nhi Trung ương để kiểm tra.
Kết quả thăm khám và chẩn đoán hình ảnh cho thấy khối u Chondrosarcoma (u sụn ác tính) tái phát ở đầu dưới xương mác bên trái (toàn bộ mắt cá ngoài bị tổn thương), kích thước lớn, chèn ép sát các cấu trúc mạch máu và thần kinh quan trọng vùng cổ chân. May mắn, các kiểm tra chuyên sâu xác định bệnh chưa di căn các cơ quan khác. Các bác sĩ đã tiến hành cắt bỏ toàn bộ khối u đầu dưới xương mác trái theo nguyên tắc ung thư xương, giải phẫu bệnh cho kết quả diện cắt âm tính (R0) - điều kiện then chốt để giảm nguy cơ tái phát tại chỗ.

Cấu tạo cẳng chân (hình ảnh minh họa, nguồn: internet)
Ca mổ đặc biệt phức tạp
Sau khi hội chẩn kỹ càng giữa các chuyên khoa chỉnh hình, ung thư, chẩn đoán hình ảnh, giải phẫu bệnh,… các bác sĩ đã lựa chọn giải pháp: ghép chỏm xương mác có cuống mạch (vạt xương - vi phẫu), cuống mạch nuôi là động mạch chày trước, kèm đảo da để che phủ phần khuyết da nơi nhận. Ưu điểm của phương pháp này là mang theo hệ mạch nuôi đảm bảo khả năng sống của vạt bao gồm cả xương, sụn, mô mềm, đặc biệt là ở trẻ em cần duy trì tiềm năng tăng trưởng của sụn phát triển ở đầu xương. Đây là ca phẫu thuật tái tạo và bảo tồn chi đặc biệt khó và đầy thách thức với nguy cơ tổn thương các mạch máu và thần kinh, có thể dẫn đến yếu liệt chi sau mổ.

TS.BS Hoàng Hải Đức đánh giá tổn thương ung thư sụn trước phẫu thuật
Theo TS.BS Hoàng Hải Đức - Trưởng khoa Chỉnh hình, Bệnh viện Nhi Trung ương, "Điểm khó nhất của ca mổ không nằm ở việc ghép xương đơn thuần, mà là tái tạo một cấu trúc chịu lực - giữ trục - giữ vững cổ chân cho bệnh nhi còn nhỏ tuổi. Phẫu thuật phải giải quyết đồng thời khuyết hổng xương sau cắt u theo nguyên tắc ung thư, khuyết da do cắt rộng và yêu cầu vi phẫu nối mạch trên mạch máu nhỏ của trẻ.
Việc lấy vạt chỏm xương mác có cuống mạch để làm vật liệu ghép đòi hỏi bóc tách tinh tế để bảo tồn thần kinh mác chung và tối ưu tưới máu vạt; cố định xương phải đủ vững nhưng không được làm tổn hại sụn tăng trưởng. Ở trẻ 8 tuổi, nếu không tái tạo mắt cá ngoài đúng cấu trúc, nguy cơ mất vững - lệch trục dạng valgus (vẹo ngoài) sẽ tăng dần theo thời gian phát triển, kéo theo đau, hạn chế vận động và nhiều lần can thiệp chỉnh trục về sau".
Ca phẫu thuật kéo dài liên tục 8 giờ, được đánh giá là đặc biệt phức tạp do cùng lúc phải thực hiện nhiều kỹ thuật chuyên sâu. Thách thức lớn nhất nằm ở giai đoạn cắt bỏ khối u theo nguyên tắc en bloc - tức lấy trọn khối tổn thương cùng diện an toàn ung thư học trong khi vẫn phải bảo tồn tối đa hệ thống mạch máu, thần kinh và các cấu trúc phần mềm quan trọng quanh cổ chân.

Đây là ca phẫu thuật đầu tiên được triển khai tại Bệnh viện Nhi Trung ương
Song song với đó, ê-kíp tiến hành lấy vạt chỏm xương mác kèm đảo da có cuống mạch nuôi từ chân đối diện để tái tạo phần xương khuyết hổng. Việc chuyển vạt có cuống mạch sang chi bệnh đòi hỏi kiểm soát chính xác chiều dài cuống mạch, hướng xoay và tưới máu, kỹ thuật nối mạch vi phẫu tốt nhằm đảm bảo xương ghép sống tốt.
"Chúng tôi tái tạo lại cấu trúc mắt cá ngoài bằng chỏm xương mác và tái tạo hệ thống dây chằng cổ chân - yếu tố then chốt giúp duy trì độ vững khớp cổ chân và khả năng chịu lực sinh lý. Đây được xem là bước khó nhất của ca mổ vì vừa phải phục hồi hình thái giải phẫu, vừa đảm bảo chức năng vận động lâu dài cho bệnh nhân", TS.BS Hoàng Hải Đức cho biết thêm.
Sau mổ, trẻ hồi phục tốt, vạt da hồng ấm, xương ghép định hình đúng giải phẫu, hai chi được tưới máu ổn định, vận động cảm giác các ngón chân tốt. Điều đó cho thấy các cấu trúc quan trọng đã được bảo tồn thành công.

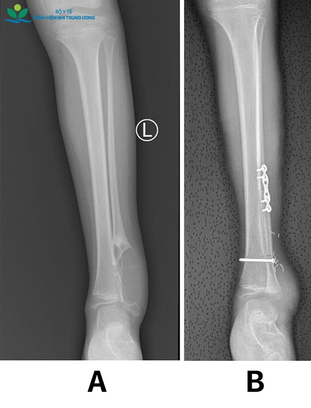
Hình ảnh X quang: (A) trước mổ cắt u; (B) sau mổ ghép vạt xương

Hình ảnh: Vạt da sau mổ ngày thứ 5
Hạnh phúc vỡ òa từ những lo lắng
Hai tuần sau phẫu thuật, bé N. phục hồi tích cực và đã được xuất viện. Trẻ không cần chỉ định hóa trị bổ sung. Với các bác sĩ, thành công của ca mổ không chỉ là một dấu mốc chuyên môn mà còn mở ra thêm cơ hội cứu chi - giữ khớp - giữ vận động cho các ca u xương vùng cổ chân ở những bệnh nhi mắc bệnh lý tương tự.

TS.BS Hoàng Hải Đức thăm khám bệnh nhi sau phẫu thuật
Trước thềm Ngày Thầy thuốc Việt Nam 27/2, câu chuyện của bé N. như một minh chứng sinh động cho nỗ lực không ngừng của đội ngũ y bác sĩ Bệnh viện Nhi Trung ương trong hành trình giành giật lại cơ hội sống trọn vẹn cho người bệnh. Giữ lại được đôi chân cho một đứa trẻ không chỉ là thành công về mặt kỹ thuật, mà còn là cách trao lại cho các em tương lai.

Bệnh nhi được kiểm tra mức độ hồi phục tại khoa Phục hồi chức năng
Trong ánh mắt của cô bé 8 tuổi ngày xuất viện, niềm hy vọng dường như cũng được thắp lên – không chỉ cho riêng em, mà cho nhiều gia đình có con nhỏ đang ngày đêm chiến đấu với bệnh ung thư xương.
TS.BS Hoàng Hải Đức - Trưởng khoa Chỉnh hình - Phòng Thông tin điện tử - Viện ĐT&NCSKTE

















Người lớn ngồi ghế phụ ô tô có được ôm trẻ em ngồi cùng không? Cục CSGT giải đáp
31 tuổi suy thận nặng, ung thư giai đoạn cuối vì món ăn vặt làm từ thịt yêu thích của trẻ em Việt
Bí mật ẩn giấu trong chiếc đồng hồ thông minh khiến tôi nhận ra: Thế hệ trẻ em này cô đơn đến mức nào!
Khi về thăm họ hàng dịp Tết, 5 kiểu trẻ em này ít được chào đón nhất, ngay cả khi cha mẹ chúng rất giàu!
Món ăn mềm mọng và ngon tuyệt, rất hợp với cơm lại đặc biệt tốt cho sự phát triển của trẻ em
Cùng chuyên mục
Cụ ông mắc bệnh K mang chiếc đồng hồ cũ xin bán 200k để có tiền ăn qua ngày, nói trong nghẹn ngào: "Tài sản cuối cùng của tôi…”
Quyền lực ngầm trong các hội bỉm sữa Á Đông: Khi tình chị em trở thành cán cân xoay chuyển dòng tiền tỷ đô
Tá hoả vì 31kg vàng biến mất, bà mẹ điều tra thì phát hiện sự thật đắng lòng: Nuôi ong tay áo!
Bị hỏi “anh có sốc khi phụ nữ giỏi hơn anh nhiều?", nam tài xế có câu trả lời thẳng
Showbiz có mỹ nam 16 tuổi đẹp như mơ, cả triệu người nguyện bảo vệ nụ cười toả nắng
Món quà đặc biệt dịp 27/2: Cứu đôi chân bé gái 8 tuổi khỏi nguy cơ tàn phế vì ung thư sụn