Một vụ việc thương tâm xảy ra tại Hà Nam (Trung Quốc) khiến nhiều người, nhất là các gia đình có con nhỏ phải giật mình. Cụ thể, một bé gái chỉ mới 52 ngày tuổi nhập viện cấp cứu tại Bệnh viện nhi đồng Hà Nam trong tình trạng bụng phình to, khó thở nghiêm trọng. Kết quả chẩn đoán là ngộ độc Botulinum nguy kịch.
Nguyên nhân khiến bé rơi vào cảnh “lành ít, dữ nhiều” xuất phát từ một thói quen dân gian: bà ngoại đã cho bé uống nước mật ong để giảm ho, bổ phổi. Không ngờ, thay vì giúp bé khỏe hơn, loại thực phẩm tự nhiên này lại trở thành “liều thuốc độc” đối với trẻ sơ sinh.
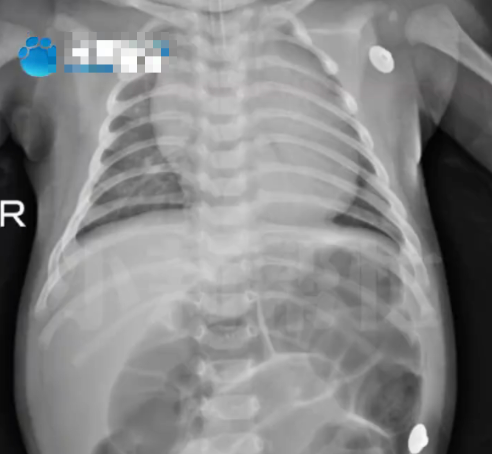
![]() |
| Em bé 52 ngày tuổi nhập viện trong tình trạng bụng phình to, suy hô hấp vì ngộ độc Botulinum |
Ông Ruan Guangfeng, Phó giám đốc Trung tâm trao đổi thông tin thực phẩm và sức khỏe Kexin (Trung Quốc) cho biết, các trường hợp trẻ em gặp nguy hiểm khi dùng mật ong không phải là hiếm, thậm chí tử vong. Ví dụ như vào năm 2020, một bé 6 tháng tuổi ở Tokyo (Nhật Bản) đã tử vong vì ngộ độc Botulinum sau khi ăn thực phẩm có chứa mật ong. Hay trước đó, vào những năm 1970, Mỹ từng ghi nhận ca tử vong đầu tiên của trẻ sơ sinh do nhiễm khuẩn Clostridium botulinum sau khi tiêu thụ mật ong.
Những vụ việc đau lòng này đã khiến Tổ chức Y tế Thế giới (WHO) cùng nhiều tổ chức y tế khuyến cáo không cho trẻ dưới 1 tuổi sử dụng mật ong dưới bất kỳ hình thức nào.
Tại sao mật ong gây ngộ độc Botulinum và mức độ nguy hiểm của nó
Mật ong từ lâu được coi là thực phẩm giàu dinh dưỡng, có nhiều công dụng sức khỏe lẫn làm đẹp. Trong đó có công dụng làm dịu cổ họng, giảm ho, tăng cường miễn dịch. Tuy nhiên, ít ai biết rằng trong mật ong có thể chứa bào tử vi khuẩn Clostridium botulinum - nguyên nhân gây ra ngộ độc Botulinum.
Theo ông Ruan Guangfeng, bào tử vi khuẩn này có khả năng chịu nhiệt cao và không bị tiêu diệt hoàn toàn khi đun sôi thông thường. Khi vào cơ thể, trong điều kiện thuận lợi, chúng có thể phát triển và sản sinh độc tố Botulinum. Đây là một trong những chất độc thần kinh nguy hiểm nhất thế giới. Độc tố này ngăn chặn sự dẫn truyền thần kinh, khiến cơ bắp tê liệt, gây khó thở và có thể dẫn đến tử vong nếu không được điều trị kịp thời.
![]() |
| Tuyệt đối không cho trẻ dưới 1 tuổi dùng mật ong (Ảnh minh họa) |
Trong khi đó, hệ tiêu hóa của trẻ sơ sinh dưới 1 tuổi chưa phát triển hoàn chỉnh, chưa có đủ lợi khuẩn để ức chế sự sinh sôi của Clostridium botulinum. Điều này khiến trẻ nhỏ dễ bị nhiễm độc khi tiêu thụ mật ong, trong khi người lớn và trẻ lớn hơn thường không gặp nguy hiểm vì hệ vi khuẩn đường ruột đã đủ mạnh để chống lại loại vi khuẩn này.
Khi nhiễm độc, người bệnh thường có các triệu chứng ban đầu như mệt mỏi, đau đầu, chóng mặt, sau đó là mờ mắt, sụp mí, khó nuốt, khàn giọng. Nếu tình trạng tiến triển nặng hơn, bệnh nhân có thể bị suy hô hấp do cơ hô hấp bị liệt, dẫn đến nguy cơ tử vong cao. Ngộ độc Botulinum có tỷ lệ tử vong từ 20 - 40%. Điều trị bệnh này đòi hỏi phải sử dụng huyết thanh kháng độc tố đặc hiệu, nhưng không phải lúc nào cũng có sẵn và hiệu quả phụ thuộc vào thời gian phát hiện bệnh.
Làm thế nào để bảo vệ trẻ khỏi nguy cơ ngộ độc Botulinum?
Để ngăn ngừa tình trạng ngộ độc botulinum, đặc biệt ở trẻ nhỏ, cha mẹ và người chăm sóc cần lưu ý những điều sau:
- Không cho trẻ dưới 1 tuổi ăn mật ong, dù dưới bất kỳ hình thức nào. Đây là khuyến cáo chung của WHO và nhiều tổ chức y tế trên thế giới.
- Cẩn trọng với thực phẩm lên men hoặc chế biến tại nhà, đặc biệt là thực phẩm tự làm từ đậu nành, thịt, trứng, cá muối, xúc xích, vì đây là những môi trường có thể chứa bào tử vi khuẩn Clostridium botulinum.
- Luôn nấu chín kỹ thực phẩm trước khi ăn, bởi độc tố Botulinum có thể bị phân hủy khi đun ở 100 độ C trong 10 phút.
![]() |
| Đảm bảo ăn chín uống sôi để tránh ngộ độc dù ở tuổi nào (Ảnh minh họa) |
- Đảm bảo vệ sinh an toàn thực phẩm, tránh mua các sản phẩm đóng gói chân không hoặc thực phẩm không có nguồn gốc rõ ràng.
Qua sự việc đau lòng này, ông Ruan Guangfeng cũng một lần nữa nhắc nhở các bậc phụ huynh rằng không phải thực phẩm nào cũng phù hợp với trẻ nhỏ, ngay cả khi đó là thực phẩm có lợi cho sức khỏe của người lớn. Việc trang bị kiến thức khoa học là cách tốt nhất để bảo vệ con trẻ khỏi những nguy cơ tiềm ẩn trong cuộc sống hàng ngày.
Đặc biệt, khi bé có biểu hiện khác thường, đừng chủ quan hay tự xử lý. Tốt nhất, hãy nhanh chóng đưa trẻ đến viện viện gần nhất. Nếu bất thường liên quan tới thực phẩm, hãy mang theo thực phẩm thừa hoặc đi cùng người cho trẻ ăn để hỗ trợ bác sĩ trong việc tổng hợp thông tin để chữa trị hiệu quả.
Nguồn và ảnh:





















Người đàn ông ngộ độc suýt tử vong vì món rau nhiều người thích, có thể xuất hiện trên mâm cơm Việt 3 bữa một ngày
Người đàn ông nguy kịch vì ăn thức ăn thừa, bác sĩ cảnh báo: 6 loại thực phẩm để lâu dễ gây ngộ độc, đắt mấy cũng nên bỏ đi
Người đàn ông tử vong vì ngộ độc chì, viêm phổi do uống 1 loại nước trong cốc giữ nhiệt: 7 loại nước hóa thuốc độc, đừng đựng vào đó
Trung Quốc là quốc gia đầu tiên phê duyệt liệu pháp mới trong điều trị ung thư vú
Nam sinh 18 tuổi tử vong vì ung thư đại trực tràng, bác sĩ: Nguyên nhân là món thịt thơm lừng, trẻ em Việt rất thích
Một thói quen của đàn ông hóa ra lại là "lá chắn tự nhiên" chống ung thư: Nghiên cứu theo dõi 32.000 người cho kết quả bất ngờ"
Cùng chuyên mục
Park Min-young và cái giá của "body màn ảnh": Càng gầy càng được khen “chuyên nghiệp”, nhưng cơ thể đang phải trả giá thế nào?
Vụ Miu Lê tổ chức, sử dụng ma túy: Ai trong nhóm 6 đối tượng bị khởi tố vì “Không tố giác tội phạm”?
Miu Lê có thể đối diện với mức án bao nhiêu năm tù?
Công bố chứng cứ quan trọng tại hiện trường làm căn cứ khởi tố ca sĩ Miu Lê
Ra quyết định bắt tạm giam Lê Ánh Nhật SN 1991
Mùa hè ăn loại củ này không khác nào dùng "thang thuốc bổ", nhưng 3 nhóm người dù thèm cũng đừng ăn nhiều kẻo ảnh hưởng sức khỏe